RESUMEN
Introducción: La varicela es una enfermedad viral exantemática aguda causada por el virus varicela-zóster (VZV).
Objetivos:
Ü Importancia de la varicela.
Ü Complicaciones mas frecuentes.
Ü Valorar la importancia de la vacunación.
Ü Actualizar información.
Material y método: Materiales provenientes de revistas científicas artículos de la red consultas a libros de medicina y el método es una revisión bibliográfica estilo Vancouver.
Desarrollo: La varicela es una entidad clínica frecuente, existen unos 50.000 casos por año declarados en la Argentina con una alta tasa de complicaciones que pueden ser fatales, principalmente en inmunodeprimidos, dentro las complicaciones encontradas tenemos: sobreinfección bacteriana (mas frecuente), bacteriemias, otitis media aguda, “neumonía varicelosa bacteriana”, osteomielitis, Neumonitis “encefalitis” (rara en niños), “meningitis”, ataxia cerebelosa aguda, Síndrome de Reye, síndrome hemolítico urémico, pericarditis, miocarditis. Existe una vacuna, preparado con virus vivos y atenuados Varicella-Zoster, con una eficacia de hasta un 98 % y un mínimo de efectos colaterales, en la actualidad no se encuentra en calendario Nacional de vacunaciones.
Conclusiones: Dada, la severidad de las complicaciones que pueden ocasionar esta enfermedad creemos conveniente la inclusión de la vacuna contra la varicela al calendario nacional de vacunaciones.
ABSTRACT
Varicella, it is good to vaccinate to avoid its complications.
Introduction: The varicella is a viral acute exantemática disease caused by the virus varicella- zóster (VZV).
Objetives:
Ü Importance of the varicella.
Ü The most frequent complications.
Ü To value the importance of the vaccination.
Ü To update information.
Development: The varicella is a frequent clinical entity, approximately 50.000 cases exist per year declared in the Argentina with a high rate of complications that they can be fatal, principally in inmunodeprimidos, inside the complications we have: over-infection bacterial (more frequent), bacteriemias, otitis average acute, " pneumonia varicelosa bacterial ", osteomielitis, Pneumonitis "encephalitis" (rare in children), "meningitis", ataxia cerebelosa acute, Reye's Syndrome, syndrome hemolítico urémico, pericarditis, miocarditis. A vaccine exists, prepared with alive virus and attenuated Varicella-Zoster, with an efficiency up to 98 % and a minimum of collateral effects, at present it is not in National calendar of vaccinations.
INTRODUCCION
La Varicela es una enfermedad viral exantemática aguda, de distribución universa inicialmente no se diferenciaba de la Viruela, su carácter infeccioso fue demostrado en 1875 por Steiner, en 1888, von Bokay relacionó a la varicela con el Herpes Zóster (HZ) (1) aquí analizaremos cuales son sus complicaciones, su frecuencia, y que conducta a adoptar frente a la vacunación en esta entidad clínica.
Ü Importancia de la varicela.
Ü Valorar la importancia de la vacunación.
Ü Actualizar información.
MATERIAL Y METODOS.
El método utilizado es una revisión bibliográfica tipo Vancouver.
DESARROLLO
Es una enfermedad viral exantemática aguda causada por el virus varicela-zóster (VZV).
Es una enfermedad endémica y epidémica cada 3 a 5 años; con una mayor incidencia en primavera. El único reservorio es el hombre. (1, 2, 3)
La varicela es, en la actualidad, la infección exantemática más frecuente. (1)
La primoinfección es más común en los primeros 10 años de la vida e infecta a niños pequeños, con máxima incidencia entre los 2 y los 8 años de edad. Es una de las infecciones más contagiosa. Cuando se presenta un caso en un hogar, casi todas las personas ¨susceptibles¨ en esa casa se contagiarán al poco tiempo. (3, 4, 5) La probabilidad de contagio entre familiares o escolares, es superior al 90%. Los casos familiares secundarios suelen ser más agresivos. ( 1)
Después de la primoinfección el virus persiste en los ganglios sensitivos, por largo tiempo pudiendo reactivarse en forma de herpes zoster o zona (vulgarmente conocido como “culebrilla”) que habitualmente aparece en los mayores de 65 años. (1, 2, 4, 6, 7)
El HZ está íntimamente relacionado con la inmunosupresión; exposición intra-útero al virus; infección antes de los 18 meses; edad avanzada (en mayores de 80 años, la incidencia de HZ es del 15%). (1) Entonces, casi todo niño la habrá sufrido antes de llegar a la vida adulta, obteniendo una inmunidad sólida y duradera contra esta enfermedad; (5) es así que solo el 10 % de las personas mayores de 15 años son susceptibles al virus varicela-zoster (8); ó dicho de otra manera a los 14 años más del 90% de la población ya es inmune, a los 35, el 99% y queda solamente una bolsa de un 5% de jóvenes de entre 15 y 35 años susceptibles a la varicela (4, 6, 7)
Son pocos los adultos susceptibles ya que, como mencionamos, la mayoría ha sufrido la enfermedad en la infancia, pero en el caso de no haberla padecido, son altamente susceptibles en contacto con la enfermedad y las complicaciones son más frecuentes (10 a 20 veces más que en los niños). Estas complicaciones tienen una tasa de alrededor de 170 casos cada 100.000. (1, 4)
Situación en la Argentina. Se notifican anualmente unos 50.000 casos, aunque la incidencia seguramente supera ampliamente esa cifra. Se ha estimado el riesgo de internación en 1 cada 600 casos y la letalidad en1 cada 100.000 casos. (1)
Mortalidad.(6, 7) Esta es aproximadamente de:
Ü Niños menores de 15 años previamente sanos: 1-3/100.000 casos
Ü Niños menores de 1 año: 6/100.000 casos
Ü Adultos sanos: 25/100.000 casos
Ü Inmunodeficientes: hasta en un 15-29 por ciento.
El riesgo de hospitalización es de alrededor de 1/600 casos en niños, cifras que ascienden a 1/50 casos en adultos. (6, 7)
Su transmisión ocurre principalmente por tres mecanismos:
1) Gotas de Flugge: Inhalar las gotitas que una persona infectada produce al hablar o al toser. Esta es la forma más frecuente de contagio. La persona infectada es contagiosa desde 1 ó 2 días antes de la aparición del exantema (pero incluso hasta 4 días antes) y hasta 6 días después de haber aparecido la primera lesión en la piel. Los pacientes con herpes zóster también pueden transmitir el virus por las secreciones respiratorias. (2, 3, 5, 9)
2) Contacto directo con piel o mucosas: Tocar las lesiones de la piel (vesículas) del enfermo. o contacto con el líquido de las vesículas u objetos contaminados (pañuelos, chupetes, etc.) (1). Los pacientes con varicela son contagiosos desde aproximadamente 2 días antes de que aparezca el exantema hasta que todas las lesiones de la piel tienen costra (habitualmente a los 4-5 días).
3) La transmisión de la madre infectada al feto durante el embarazo. De todos los recién nacidos de mujeres embarazadas que han padecido la varicela, el 2% desarrolla el síndrome de la varicela congénita. (2, 3 ,5 ,9)
La Varicela presenta un período de incubación que dura unos 15 días, un período prodrómico con 1 a 10 días de duración y el período exantemático, que caracteriza a la enfermedad. El paciente es contagioso desde 1-2 días antes y hasta 5-6 días después del exantema (cuando se forman las costras); por lo que los brotes son incontrolables. La duración es de unos 10 días promedio, aunque hay casos de hasta 21 o más días (inmunocomprometidos). (1, 2, 3, 4). La varicela, en su forma típica, se caracteriza por una erupción en la piel (exantema) de carácter pápulo- vesicular, de distribución centrípeta, con pleomorfismo regional (las lesiones presentan distintos estadíos simultáneamente, culminando en costras),con prurito, y que a menudo se presenta con fiebre y otras molestias inespecíficas como malestar o cansancio. (1, 2, 3, 4, 7, 9).
Su importancia viene dada por la alta contagiosidad (la más frecuente de la infancia: la tasa de ataque secundario en susceptibles ronda el 90%) (1, 4, 7) y la aparición de complicaciones, que ocurren en un 3-5% (4,10). Estas son más frecuentes y potencialmente peligrosa en:
Ü Niños menores de 1 año
Ü Adultos
Ü Inmunocomprometidos (1, 6, 7)
Las complicaciones más frecuentes son (7):
Ü Cutáneas: sobreinfección bacteriana de las lesiones por Staphylococcus aureus, Streptococcus pyogenes: celulitis, adenitis, fascitis necrotizante),
Ü bacteriemias transitorias por estreptococo grupo A, con posibilidad de producir infecciones focales como: otitis media aguda, “neumonía varicelosa bacteriana” (infrecuente en niños), artritis, osteomielitis.
Ü Neumonía viral o Neumonitis (11)
Ü Neurológicas: “encefalitis” (rara en niños), “meningitis”, cerebelitis o ataxia cerebelosa aguda,
Ü Hemorrágicas (trombopenia transitoria, púrpura trombocitopénica, púrpura fulminante)
Ü Síndrome de Reye (lesión hepática y cerebral) asociado al uso de aspirina en el curso de la varicela.
Ü Otras (orquiepididimitis, nefritis, síndrome nefrótico, síndrome hemolítico urémico, pericarditis, miocarditis). (1, 2, 6, 10) .
En resumen la complicación más común es la infección dérmica bacteriana, seguida de la encefalitis y la neumonía viral.(11)
Cuando la varicela se presenta en su forma típica, el diagnóstico clínico es sencillo.
Los estudios complementarios no se realizan de forma rutinaria, pero ayudan al diagnóstico en las formas atípicas de la enfermedad y son los siguientes:
Ü Frotis de Tzanck: se realiza durante los 3 a 4 primeros días de la erupción cutánea; se extrae material de las vesículas y se comprueba la presencia de celulas gigantes multinucleadas con inclusiones intranucleares, que indica la mpresencia de V-Z o de otro herpes virus.
Ü Se pueden realizar ELISA (análisis inmunoabsorvente conjugado con enzimas) y FAMA (prueba de anticuerpos fluorescentes contra antígenos de membrana); estos dos estudios determinan la condición de inmune del huésped.
Complicaciones.
Las complicaciones se producen por acción directa del virus, por mecanismo inmune o por sobreinfección bacteriana (2)
La varicela es la enfermedad exantemática más frecuente de los niños y presenta una expresividad clínica variable. Los niños menores de un año, adolescentes, adultos (9 ,10), inmunodeprimidos, con enfermedad pulmonar o cutánea crónica o casos secundarios de varicela (contagios en convivientes) tienen más posibilidades de presentar formas graves de esta enfermedad; sin embargo, éstas también aparecen en un número elevado de niños sanos.
Las causas más comunes de hospitalización en niños sanos son la sobreinfección bacteriana de las lesiones cutáneas y los trastornos del sistema nervioso central. En ocasiones, la hospitalización es necesaria por hepatitis o encefalitis tanto en niños como en adultos. Un estudio del Hospital de Niños "Dr. Ricardo Gutierrez", refiere que entre 1988 y 1994, fueron hospitalizados 468 niños con varicela. De ellos, 50 padecían enfermedades malignas. (1) Los sitios donde se encuentran estas, con mayor frecuencia son: piel, aparato respiratorio y sistema nervioso.
Estas complicaciones son las más frecuentesLa sobreinfección de las lesiones cutáneas se da especialmente por Streptococcus beta hemolítico (2), Staphyloccus aureus o Streptococcus pyogenes (2); que en ocasiones producen una toxina que puede destruir la piel (12) y dejar cicatrices permanentes.(9) Estas bacterias pueden invadir la sangre (septicemia) y embolizar en otros órganos como los pulmones y ocasionar neumonía, los huesos y ocasionar osteomielitis (3, 6, 8, 9 ) Otros cuadros consecuencia de esta infección son: varicela hemorrágica y bullosa, .(9)
La afección neurológica es una complicación sobre todo de la varicela infantil. En lo que respecta a las complicaciones neurológicas se describen: encefalitis, cerebritis, meningitis, mielitis transversas, sindrome de Guillain Barré, sindrome de Reyé. La patogenia de las mismas no está bien definida, mencionándose la acción directa del virus y mecanismos inmunológicos. (2) La más frecuente es la ataxia cerebelosa aguda que se estima ocurre en 1 de cada 4.000 casos en niños. Se caracteriza por ataxia, nistagmo, temblor, dolor de cabeza, nauseas, vómitos y rigidez de nuca; puede cursar con pleocitosis ligera y mínima hiperproteinorraquia; y se desarrolla desde 10 días antes hasta 21 días después de la aparición del exantema, . Lo habitual es que los pacientes se recuperen totalmente.
La encefalitis es más frecuente en adultos y potencialmente fatal. (2) La encefalitis por varicela (infección del sistema nervioso central por el propio virus de la varicela) es más rara pero puede ser fatal. Se estima que en los niños de 1 a 14 años aparece con una frecuencia de 1,7 por cada 100.000 casos de varicela. Suele aparecer de 4 a 8 días después de la aparición del exantema y se manifiestan somnolencia, dolor de cabeza, vómitos, fiebre, inestabilidad y convulsiones; y, en ocasiones, es posteruptiva tardía (hasta 3 semanas después). (11)
Otras complicaciones del sistema nervioso incluyen meningitis aséptica, mielitis transversa, convulsiones febriles, síndrome de Guillaim-Barré y otras de rara frecuencia. (9) Las complicaciones neurológicas son la segunda causa más frecuente de internación cuando se trata de niños sanos, sobre todo menores de 5 años y mayores de 20 años. (8)
Una complicación menos frecuente es el síndrome de Reye, que afecta sólo a los menores de 18 años y puede percibirse entre 3 y 8 días después del inicio de la varicela ( es una complicación tardía posvaricela). Este síndrome ha sido relacionado con el ácido acetilsalicílico (aspirina), por lo que es recomendable no administrar esta sustancia a niños con varicela o gripe. (11)
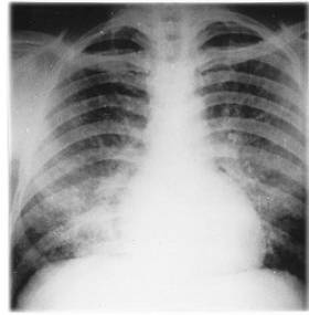
La neumonía viral o neumonitis es una complicación grave potencialmente fatal, no es frecuente en niños a menos que estén inmunocomprometidos, pero es la complicación severa más frecuente en adultos (se presenta en hasta el 20% de los adultos) ( 3, 6, 8, 9), particularmente entre fumadores (6). Suele aparecer unos días después de la aparición del exantema y (2) en ocasiones pasa inadvertida, ya que puede cursar asintomática y revelerse sólo por la radiografía de tórax. (2, 6) En contraste con la pobreza semiológica respiratoria, la radiología pulmonar muestra afección bilateral extensa, más evidente en los hilios y los campos inferiores; el infiltrado es típicamente intersticio-nodular; pero en algunos casos se calcifica, dando lugar a un patrón miliar permanente. (2, 6) En los casos graves se manifiesta por tos, hemoptisis, cianosis, taquipnea, dificultad para respirar, fiebre, y dolor torácico al respirar. (6, 9)
Las neumonias bacterianas son más tardías y la entrada del germen está facilitada por las lesiones virales de la mucosa respiratoria.(2)

También aparece con frecuencia la hepatitis causada por el propio virus de la varicela, aunque rara vez da síntomas, y sólo se detecta por exámenes complementarios. (8)
En general son pocas las embarazadas susceptibles a la varicela (aproximadamente un 5%); pero la varicela durante el embarazo se asocia a una mayor morbimortalidad materna, siendo la neumonía la complicación más frecuente. (6) Si una mujer adquiere varicela durante el embarazo, puede existir un riesgo para el bebé. De cualquier modo los niños, en general, no suelen presentar complicaciones graves. (8)
La gravedad de la varicela en el recién nacido dependerá del momento de la varicela materna en relación al parto (7), así:
a) El riesgo de infección intrauterina asintomática en el curso de la varicela materna en el primer trimestre de embarazo, manifestada clínicamente al nacer por el síndrome de la varicela congénita o Fetal, es de 2-5% aproximadamente (6) y, puede ocasionar:
Ü muerte embrionaria o fetal
Ü bajo peso al nacer
Ü microcefalia
Ü anomalías genitourinarias
Ü cicatrices cutáneas
Ü atrofia ó hipoplasia de extremidades
Ü anomalías oculares (coriorretinitis y cataratas)( 2, 6, 7)
b) Aunque la transmisión transplacentaria del virus puede ocurrir en el segundo y el tercer trimestres, rara vez se asocia a defectos en el nacimiento; pero el recién nacido puede presentar Varicela al nacer, el que la padecerá de manera más o menos grave de acuerdo al momento de la infección materna en relación al parto y la posibilidad de que la madre haya o no transmitido, además del virus, anticuerpos contra la enfermedad.
Ü Si la madre desarrolla varicela entre los 10 a 20 días previos al parto (más de 5 días previos al parto), el recién nacido no presentará la infección o desarrollará varicela posnatal precoz (primeros 4 días de vida), de evolución no grave. La madre transmite al niño, a través de la placenta, el virus de la varicela, pero acompañado en este caso de los anticuerpos que la madre ha fabricado en respuesta a su propia infección, que brindan protección pasiva transplacentaria al feto.
Ü Si la madre presenta varicela entre 5 días antes y 2 días después del parto, la varicela aparece en el recién nacido en el 5º-10º día de vida y el curso de la enfermedad será muy severo, con elevada mortalidad. La madre transmite la varicela al niño sin los anticuerpos correspondientes, ya que no ha tenido tiempo de elaborarlos en respuesta a su propia infección. ( 2 ,4, 6, 7)
Es una forma grave de varicela donde las vesículas tienen contenido hemorrágico, hay petequias, sufusiones hemorrágicas y plaquetopenia, con mecanismo de CID. La varicela hemorrágica debe hacer sospechar la presencia de una púrpura trombocitopénica asociada, de una sepsis bacteriana secundaria,de una neoplasia maligna subyacente ó de una inmunodeficiencia.
El VVZ puede causar enfermedad grave en personas con deterioro de la inmunidad celular (neoplasias hematológicas o sólidas, uso de corticoides en altas dosis, citostáticos o radioterapia, inmunodepresión que sigue a los transplantes, SIDA, pacientes con enfermedad fibroquística, quemados). El riesgo de diseminación es mayor (20-30%) (1) cuando la linfopenia es menor de 500/mm3.
La enfermedad grave se traduce por un período de incubación más corto, aparición de nuevas vesículas después de 5 días del comienzo de la erupción, presencia de lesiones de varicela hemorrágica y diseminación visceral que predomina en pulmón, hígado y sistema nervioso. (2, 6, 8, 9) La enfermedad puede ser persistente, presentando lesiones nuevas durante meses y las vesículas pueden generalizarse (1).
Los niños con hemopatía maligna son los más sensibles a la forma progresiva diseminada de la infección. La diseminación visceral ocurre en el 20-35% de los niños con cáncer y en tratamiento quimioterápico, entre los cuales la mortalidad alcanza cifras del 7-30%. (6)
El aciclovir administrado precozmente, hasta las 24 horas del inicio de la erupción, disminuye la aparición de nuevas lesiones y la diseminación visceral.
No está indicado administrarlo rutinariamente en las personas inmunocompetentes. Se recomienda en: prematuros, recién nacidos, adolescentes, adultos, embarazadas, pacientes con enfermedades pulmonares y cutáneas crónicas o inmunodeprimidos.
En los cuadros graves o potencialmente graves es preferible la vía intravenosa, en infusión a la dosis de 5 a 10 mg/k cada 8 horas. Cuando se administra por vía oral la dosis es de hasta 800 mg 5 veces diarias.La duración del tratamiento es entre 5 y 10 días.
El valaciclovir tiene mayor biodisponibilidad y es igualmente eficaz que aciclovir. Se administra a la dosis de 1 g V/0 c/8 horas.
Se aconseja no administrar ácido acetilsalicílico por el riesgo del sindrome de Reye. El tratamiento debe complementarse con medidas generales de higiene
La mejor prevención de la varicela es evitar los posibles contactos. Sin embargo, por ser una enfermedad altamente contagiosa, es difícil de evitar el contagio.
Previene la enfermedad o atenúa los síntomas. La globulina inmune frente al VVZ puede ser obtenida de enfermos convalescientes o de plasma de donantes sanos con altos títulos de anticuerpos contra VVZ. La globulina humana inmune inespecífica tendría actividad similar a la específica No está indicado administrarla en forma indiscriminada. Es útil en la población de riesgo, no inmunizada, que tuvo contacto con un caso de varicela: embarazadas, inmunodeprimidos celulares. Debe ser administrada lo más pronto posible, dentro de las 72 horas posteriores al contacto
A partir del año 1995 se comenzó la distribución de la vacuna contra la Varicela. Se trata de un producto biológico desarrollado a principios de la década de los setenta, preparado con virus vivos y atenuados Varicella-Zoster, cepa OKA. Esta vacuna ha demostrado una eficacia de hasta un 98 % y un mínimo de efectos colaterales indeseables leves, tales como enrojecimiento del sitio de aplicación y una leve erupción ampollar parecida a la Varicela, que puede aparecer hasta cuatro semanas después de la inyección, en uno a siete por ciento de los vacunados. Los niños que contraen la enfermedad a pesar de haber sido vacunados, la padecen de forma leve.
La vacuna de la varicela confiere una protección excelente (> 95 por ciento) frente a la enfermedad grave, buena (70-90 por ciento) contra la enfermedad clínica con exantema (erupción típica) y regular contra la infección (no la impide totalmente).
Esta vacuna está indicada en niños de 12 meses a 12 años que no hayan sufrido la enfermedad, en una sola dosis. Los mayores de 13 años y adultos requieren de dos dosis, separadas por un intervalo mayor de un mes.
Los efectos secundarios de la vacunación incluyen (7):
Ü Reacciones locales en las primeras 48 hs.
Ü Fiebre
Ü Alergia a algún componente de la vacuna. Las reacciones alérgicas severas a vacunas en general son muy infrecuentes (1/1.000.000 de dosis administradas)
Ü Varicela post-vacunal. Un 3-5% de los niños vacunados presentan erupción vesiculosa localizada y en otro 3-5% es generalizada, maculopapulosa o similar a la varicela.
Ü Herpes Zóster. La vacuna puede producirlo, pero su incidencia y severidad en vacunados es inferior que en lo no vacunados
Ü Transmisión del virus vacunal. Muy excepcional. Sólo lo transmiten los vacunados que tienen erupción. Si aparece una erupción en una persona vacunada, deberán cubrirse las lesiones, si es posible, y evitar el contacto con individuos susceptibles de alto riesgo
Está contraindicada en (7)
Ü Menores de un año.
Ü Niños que presenten alguna enfermedad febril aguda más importante que un resfriado común; es decir enfermedad moderada o severa, con o sin fiebre.
Ü Personas que sufran una disminución de su sistema de defensas, como los casos de enfermedades inmunológicas, cáncer o que estén recibiendo derivados de cortisona.
Ü En aquellas personas que convivan con otras que sufran una disminución de su sistema de defensas (inmunodeficiencia, SIDA, neoplasias en tratamiento de inducción o radioterapia y niños que reciben corticoides a altas dosis o tratamiento crónico con salicilatos).
Ü Embarazadas y niños en contacto con embarazadas susceptibles.
Ü Alérgicos al antibiótico Neomicina.
La lactancia no es una contraindicación de la vacunación de la madre o el niño. Puede administrarse a convivientes con recién nacidos (7).
Los argumentos a favor de la aplicación de la vacuna contra la varicela, son:
- En más del 95 por ciento de los niños sanos se logra la protección con una sola dosis.
- Los mayores de 13 años y adultos sanos logran la protección tras 2 dosis. En la primera dosis existe un 20 por ciento de fallos.
- La duración de la protección es de al menos 20 años y probablemente sea permanente.
- Los estudios de coste-beneficio, cuando se incluyen los costes médicos directos y los costes sociales indirectos, son también favorables a la vacunación sistemática.
A pesar de que este producto ha recibido el entusiasta apoyo de la Academia Norteamericana de Pediatría y la autorización de la FDA (Food and Drug Administration), su utilización dentro de los esquemas rutinarios de inmunización infantil se ha dificultado, debido principalmente a tres aspectos:
1) Alto costo económico.
2) La preocupación de que la inmunidad adquirida ante una enfermedad que es benigna en la infancia pueda perder eficacia a través de los años, dejando a las personas vulnerables y postergando de esta manera la aparición de la enfermedad hasta la edad adulta, cuando las complicaciones son más importantes.
3) Las dificultades que se presentan al agregar otra vacuna más al gran número de inmunizaciones que se deben aplicar en la infancia.
En cuanto a la preocupación acerca del efecto de la vacuna en la epidemiología de la varicela, por la posibilidad de desplazar su máxima incidencia a edades adultas, cuando la varicela es más severa y sus complicaciones más frecuentes. Se calcula que:
- Alcanzando coberturas mayores del 90 por ciento mediante vacunación universal una mayor proporción de casos ocurriría en edades más avanzadas pero el número de varicela disminuiría en los niños y también en los adultos.
- - Con coberturas más bajas, un número excesivo de niños alcanzaría la edad adulta siendo aún susceptibles y el número de varicelas en adultos aumentaría.
Por tanto, la vacunación deberá iniciarse simultáneamente en todo el país y se han de alcanzar rápidamente altas coberturas.
Los defensores de esta vacuna argumentan que las mismas preocupaciones surgieron cuando se inició la inmunización masiva contra otros virus y que tales dudas resultaron infundadas. Los numerosos trabajos de investigación que avalaron su aprobación por la FDA, comprueban una inmunidad efectiva con una duración mayor de veinte años. Por otra parte, la inmunización universal reduce el riesgo de que algún adulto se contagie, puesto que habrá menor cantidad de enfermos y de virus circulantes.
Otra razón que limita la aplicación de la vacuna es que mucha gente piensa que la varicela "es una enfermedad que les tiene que dar" y qué "para que vacunarlo"; es decir que hay que luchar contra las arraigadas creencias de la población, lo cual no es objetivo fácil de lograr. (12)
La varicela la padecen casi todos los niños, por lo que tiene un coste sanitario y social significativo, si se incluyen:
- Los costes médicos (consultas, medicación, hospitalizaciones, tratamiento de las complicaciones).
- Los costes indirectos (pérdidas de horas laborales por los padres o cuidadores, pérdidas de días de escolarización, desplazamientos, etc.).
La decisión de aplicar este producto deberá ser considerada en cada persona en particular por su médico tratante, sin embargo es evidente su importancia en los adultos que no la han padecido, especialmente en aquellos que se ocupan del cuidado infantil y los servidores de la salud (maestros, profesores, médicos, odontólogos, bioanalistas y enfermeras).
En España la vacuna de la varicela, de momento, sólo se encuentra indicada en pacientes de riesgo y sus contactos sanos seronegativos. Las recomendaciones son las siguientes (7):
I. Niños con leucemia linfoblástica aguda, en determinadas condiciones.
II. Niños con tumores sólidos malignos, en las mismas condiciones que en la leucemia.
III. Niños en programa de trasplante de órganos sólidos (riñón).
IV. Niños con enfermedades crónicas: trastornos metabólicos, endocrinos, renales, pulmonares o cardiovasculares, sin inmunodepresión ni corticoterapia a dosis altas.
V. Personas seronegativas en contacto con niños inmunodeprimidos (familiares y sanitarios que los atienden).
VI. Mujeres susceptibles, no embarazadas, en edad fértil.
Además, la vacuna es eficaz si se administra en los primeros 3 días (6 por ciento de fallos) o hasta 5 días (33 por ciento de fallos) tras la exposición a un caso de varicela. Se ha utilizado para la interrupción de brotes epidémicos en guarderías y escuelas.
La Asociación Española de Pediatría recomienda la vacunación universal contra la varicela. En Valencia, España, se comenzará en el año 2005 a incluir a la vacuna de la varicela en el calendario de vacunaciones sistematicas. Inicialmente se vacunará a todos los niños de entre 12 y 15 meses de edad y a todos los menores de 13 años con una sola dosis. Posteriormente, también se incluirá en el calendario a los niños mayores de 13 años, a los cuales se les suministrarán dos dosis, con un intervalo de 4 a 6 semanas (7, 14, 15).
Ü Vacune a su niño contra Varicela, a partir de los 12 meses de edad.
Ü Si sospecha que su niño la padece, consulte prontamente al médico para su diagnóstico preciso, pues existen otras enfermedades eruptivas ampollares parecidas.
Ü La higiene personal contribuirá a evitar las complicaciones cutáneas por rascado. Por lo tanto, bañe diariamente al niño con algún jabón antiséptico.
Ü Para aliviar el prurito (picazón) puede aplicar lociones con Mentol y/o Calamina frecuentemente.
Ü Si su médico lo autoriza, se le puede suministrar algún anti-alérgico que disminuya el prurito.
Ü Explique al niño que pueden quedar cicatrices para toda su vida si rasca o arranca las lesiones.
Ü Corte y lime sus uñas, para dificultarle el rascado.
Ü En los casos severos el médico podrá prescribir Aciclovir, un efectivo fármaco anti-viral.
Ü No suministre Aspirina para disminuir la fiebre. Su uso está contraindicado en los casos de Varicela pues puede precipitar una grave enfermedad neurológica, llamada Síndrome de Reye. (5)
Dada la incidencia de esta entidad clínica, unos 50.000 casos anuales registrados en Argentina, con una mortalidad que ha aumentado sobre todo en pacientes inmunodeprimidos y la alta tasa de hospitalizaciones, 1/600 niños, 1/50 adultos por las complicaciones que pueden ser graves como neumonías, encefalitis, entre otras, creemos que la vacunación contra la Varicela permitíra reducir la morbi-mortalidad de esta enfermedad y romper de esta manera con una serie de mitos que existen en pediatría respecto a que la varicela es una enfermedad benigna, por ello consideramos que la incorporación de esta medida profiláctica al calendario Nacional de vacunaciones debe ser tenida en cuenta ya que es el comienzo de la erradicación de la enfermedad, "igual que se hizo en su momento con la viruela o la polio en los países desarrollados".
1- Kohler C. Varicela. [en línea] 2004 [fecha de acceso 12 de diciembre 2004] URL disponible en: http://www.vacunacion.com.ar/info/en_varicela.html#arg
2- Hernandez O. Clínica de Enfermedades Infecciosas. [en línea] 2003 [fecha de acceso 8 de diciembre 2004] URL disponible en: http://www.infecto.edu.uy/revisiontemas/tema2/varicelatema.htm
3- Alvarez Mendizabal J. Infecciones Viricas. Manual Merck. España.: Edición del Centenario, 1999, 10º ed: Sec. 19: 265: 263-265
4- Markowsky C, Gorodner J. Enfermedades Infecciosas. Argentina: Edit. Eudene, 1998: Vol 1: 355:220-225
5- Meyer Magarici. Prevención de la Varicela. TP [en línea] 2003 [fecha de acceso 12 de diciembre 2004] URL disponible en:
http://www.tupediatra.com/temas/tema42.htm
6- Farreras Rozman, Garau Alemany J. Infecciones causadas por los virus del herpes simple y de la varicela-zoster. España Edit. Harcourt, 2000: vol2:Sec 17:320: 1984-1986
9- Barreda P. Varicela. PAD [en línea] 2003 [fecha de acceso 12 diciembre 2004] URL disponible en: http://www.pediatraldia.cl/pest_cris.htm
10- Azanza Agorreta M J; Martinez Cirauqui E; Bernaola I; Herrans Aguirre M; Clerique Arrieta N; Alzina De Aguilar V; Fiz Sánchez P; Raggio Perez S. Cluster de complicaciones cutáneas graves de varicela. RCAP [en línea] 2002 [fecha de acceso 12 de diciembre de 2004] URL disponible en: http://www.dinarte.es/pap/num15/pdf/nucleo01.pdf
11- Madrid M. Varicela. [en línea] 2003 [fecha de acceso 10 de diciembre 2004] URL disponible en: http://www.ondasalud.com/edicion/noticia/0,2458,4930,00.html
12- Murguía Pozzi R. Complicaciones de la Varicela. [en línea ] 2004 [fecha de acceso 8 de diciembre 2004] URL disponible en: http://www.mipediatra.com.mx/vacunas/vac-varicela.htm
13 Klassen TP, Belseck EM, Wiebe N, Hartling L . Aciclovir para el tratamiento de la varicela en niños y adolescentes sin otra enfermedad. CL [en línea] 2004 [fecha de acceso 8 de diciembre 2004] URL disponible en: http://www.update-software.com/abstractsES/AB002980-ES.htm
14 Martinez P. Actualización en vacunas, vacunación en población general y controversias. MI [en línea] 2004 [fecha de acceso 8 de diciembre 2004] URL disponible en: http://www.elmedicointeractivo.com/formacion_acre2004/tema3/vacunacion10.htm 2004
15 Mezquita E. El futuro de la vacuna de la varicela se basa en su unión con la triple vírica. DM [en línea] 2004 [fecha de acceso 8 de diciembre del 2004] URL disponible en: http://www.diariomedico.com/edicion/noticia/0,2458,499731,00.html